أخر الأخبار
- Mastering Communication Skills & Teamwork
- جمعية الجراحين الأردنية تشارك في المؤتمر السنوي الـ44 للجمعية المصرية للجراحين في القاهرة
- Peritoneal Surface Malignancies Unchained
- Physical Examination in Surgical Patients
- رئيس جمعية الجراحين الأردنية الدكتور محمد الهروط يشارك بمحاضرة علمية في المؤتمر الطبي الدولي الثاني بمعان
- Approach to Cholangitis. What to do next?!
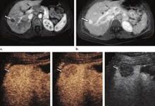
- Approach to Liver Lesions
- Retroperitoneal Hemorrhage
- When and How to Amputate a Limb







































